Mise en charge immédiate d’un Bi Maxillaire Full numérique
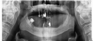
Radio panoramique de la situation de départ :

Un cone beam et une prise d’empreinte optique ont été nécessaire pour réaliser la planification implantaire du cas.

Un waxup esthétique haut et bas a aussi été réalisé.

Il a été prévu de poser 6 implants au Maxillaire et 4 implants à la mandibule .

2 guides SMOP ont été imprimé, appuis dentaires, muqueux + fixation par clavettes.

Juste après la pose des implants, prise d’empreinte numérique à l’aide des transferts digitaux.
Le guide SMOP est numérisé en place avec les transferts, cela nous permet de retrouver l’occlusion.

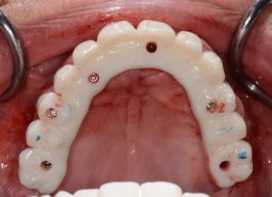
La réalisation des 2 bridges transvissés provisoires peut commencer sur le logiciel Exocad.

Impression 3 d des 2 bridges transvissés provisoire et pose.


A peine 5 h après le début de la chirurgie le patient peut repartir avec 2 bridges provisioires .
Le numérique, la chirurgie guidée et l’impression 3d nous permette de réduire énormément les temps opératoires et de laboratoire .
Vous êtes intéressés par la chirurgie Guidée avec SMOP ? Contactez-nous !
- Published in Actualités
Utilisation de 2 guides implantaire pour gérer un cas complexe d’extraction implantation immédiate
Merci au Dr Bailly et à la société Anthogyr pour cet article.
N’hésitez pas à nous contacter pour toutes vos questions en chirurgie guidée.
Profitez de nos guides SMOP (impression polyjet 16 microns) à partir de 148 euros .
- Published in Actualités
Un cas réussi d’extraction / implantation immédiate / mise en esthétique grâce au numérique !
La planification implantaire a été réalisée sur le logiciel SMOP. Les empreintes ont été superposées avec le cone beam du patient.
Les implants ont été posés virtuellement, ce qui a permis au praticien d’évaluer la possibilité d’extraire, implanter et mettre en charge immédiatement lors d’une même séance.
Une fois la planification validée, un guide implantaire SMOP a été dessiné et imprimé (imprimante STRATASYS poly-jet avec précision à 16 microns ).
Le praticien a choisi de poser 2 implants Thommen en FULL GUIDED.
1 ère étape : extraction des dents
2ème étape : pose des implants grâce au guide SMOP
Positionnement fidèle a la planification et comblement des hiatus péri-implantaires à l’aide d’un biomatériau xénogénique.
3ème étape prise d’empreinte numérique immédiate avec transferts numériques Thommen, transfert sur Exocad et dessin des provisoires basé sur la morphologie initiale.
4 ème étape : impression du bridge provisoire en résine, nettoyage et collage sur embase titane.
5ème étape : bridge provisoire posé en bouche
Grâce à une bonne gestion du flux numérique, à la planification complète du cas, à la chirurgie full guided SMOP, à la prise d’empreintes numériques et l’impression du provisoire sur place, le patient est resté à peine 3h au cabinet et le cas a pu être géré en une seule intervention. Les profils d’émergence et contours gingivaux ont pus être préservés.
Son sourire aussi ! 😀
- Published in Actualités
L’implantologie guidée par gabarit avec le logiciel SMOP
Au cours de ces dernières années, l’application clinique de la planification virtuelle d’opération guidée par gabarit est devenue un instrument d’insertion d’implants qui convient à la pratique. L’auteur de cet article exerce dans un cabinet privé en tant que spécialiste en chirurgie orale.
Il s’occupe du thème de l’«implantologie naviguée» depuis de nombreuses années et a été consulté lors du développement de plusieurs produits importants. Dans cet article, il souhaite exprimer son opinion sur les avantages qu’offre actuellement l’implantologie naviguée ainsi que sur les situations dans lesquelles il est préférable de choisir les méthodes conventionnelles.
- Published in Actualités
Clinical Oral Implant Research 2015
- Published in Actualités
Schneider COIR 2014
- Published in Actualités
Kernen Clinical Implant Dentistry and Related Research 2015
- Published in Actualités
Implantologie dentaire, Décembre 2013
- Published in Actualités
Travail d’équipe, Janvier 2013
- Published in Actualités
- 1
- 2










